Unsere Leistungen

In unserer Zahnarztpraxis in Reutlingen bieten wir Ihnen ein umfassendes Spektrum zahnmedizinischer Leistungen – für jede Lebensphase und jeden Anspruch. Unser Ziel ist es, Ihre Zahngesundheit langfristig zu erhalten und Ihnen Behandlungen zu ermöglichen, die medizinisch sinnvoll, schonend und individuell auf Sie abgestimmt sind.

Ob Vorsorge, ästhetische Zahnheilkunde oder Zahnersatz - Wir arbeiten mit modernen Methoden, hochwertigen Materialien und viel Einfühlungsvermögen. Dabei nehmen wir uns Zeit für eine ausführliche Beratung, damit Sie jede Entscheidung gut informiert treffen können.

 

icon telefonJetzt anrufen - 07121 - 31 10 55

Überblick unserer Leistungen

Ästhetische Zahnkor­rekturen

Mehr als nur schöne Zähne

Schöne Zähne – wer will das nicht? Nicht jeder hat von Natur aus ein strahlend schönes Gebiss. Die meisten haben kleine Schönheitsfehler. Im Laufe des Lebens verändert sich das Aussehen, auch das der Zähne, soweit normal. Es kann zu Zahnverfärbungen, Karies, Zahnfleischrückgang, Abrasionen und Zahnverlust kommen.

Für jede Situation und jeden Wunsch gibt es heute eine hochästhetische Lösung.

Oft genügen einfache Maßnahmen: dunkle Zähne oder Verfärbungen können gebleicht, stumpf erscheinende Oberflächen poliert oder störende Kanten geglättet werden. Zähne können mit modernen Kompositen eine neue Form erhalten und so Fehlstellungen optisch korrigiert werden. Wenn es mal komplizierter wird, kann man z. B. mit hauchdünnen Verblendschalen (Veneers) wunderschöne, natürlich aussehende Zähne mit individueller Transparenz auf schonende und minimalinvasive Weise dauerhaft realisieren.

Moderne ästhetische Zahnheilkunde bedeutet, Zahnform, Zahnfarbe, Zahnfleisch und Funktion sollen in harmonischen Einklang gebracht werden.

Sprechen Sie uns gerne an.


Füllungs­therapie

Die beste Füllung ist keine Füllung

Nach dem Verbot neuer Amalgamfüllungen bieten verschiedene Arten von Füllungsmaterialien eine sichere und zuverlässige Versorgung. Patienten, die eine vollständig von der Krankenkasse übernommene Lösung wünschen, können mit Glasionomerzementen versorgt werden. Diese Zementfüllungen haben ihre Schwächen in der Härte und damit der Haltbarkeit sowie der deutlich vom Zahn abweichenden sichtbaren Farbe.

Wer Wert auf Ästhetik und eine besonders lange Haltbarkeit legt, kann sich zwischen Kompositfüllungen, Keramikinlays oder Goldfüllungen entscheiden. Für diese aufwendigen und hochwertigen Füllungen fallen von der Krankenkasse nicht getragene Zusatzkosten an. Eine entsprechende Zahnzusatzversicherung kann hier helfen.

Gerne beraten wir Sie detailliert.


Wurzelkanal­behandlung

Endodontie - Das Ziel ist der Zahnerhalt

Eine Wurzelkanalbehandlung ist eine Maßnahme zur Erhaltung entzündeter oder abgestorbener Zähne, bei der das infizierte Nervgewebe entfernt, die Kanäle gereinigt, desinfiziert und dicht verschlossen werden. Ein irreversibel entzündeter oder abgestorbener Zahnnerv (Pulpa), oft durch tiefe Karies oder Trauma verursacht, macht sich durch Schmerzen beim Beißen, Kälte-/Heißempfindlichkeit oder Schwellung bemerkbar. In einem solchen Fall ist die Endodontie die einzige Alternative zur Zahnentfernung. Nicht immer kann die Behandlung erfolgreich durchgeführt werden, aber moderne Methoden wie Ultraschallaktivierung, maschinelle Aufbereitung, elektrometrische Längenmessung und die Verwendung von Vergrößerungshilfen mit einem zusätzlichen Lichtleiter erhöhen deutlich die Erfolgsquote und helfen so, einen Zahnverlust zu vermeiden.

Dank gut wirksamer Anästhesiemethoden ist die Behandlung, entgegen landläufiger Meinung, so gut wie immer schmerzfrei.


Parodontitis

Die häufigsten chronischen Erkrankungen weltweit

Bei der Parodontitis greift die körpereigene Abwehrreaktion auf alle Anteile des Zahnhalteapparates über und zerstört den Kieferknochen und die Haltefasern, der Zahn wird locker. Die Erkrankung ist eine der Hauptursachen für Zahnverlust bei Erwachsenen. Parodontitis hat auch Auswirkungen auf den gesamten Körper und steht in Zusammenhang bzw. Wechselwirkung mit einer Vielzahl von systemischen Erkrankungen, unter anderem Diabetes mellitus, kardiovaskuläre Erkrankungen, Schwangerschaftskomplikationen und Demenz.

Das Risiko für Parodontitis ist individuell unterschiedlich. Rauchende erkranken deutlich häufiger an Parodontitis als Nichtrauchende.

Häufiges Zahnfleischbluten (beim Zähneputzen, aber auch spontan, z. B. beim Kauen), gerötetes und geschwollenes Zahnfleisch, dauerhafter Mundgeruch und/oder unangenehmer Geschmack im Mund, Zahnfleischrückgang und länger werdende Zähne, temperaturempfindliche Zähne (Zahnhälse), Eiteraustritt aus den Zahnfleischtaschen oder gelockerte und sich verschiebende Zähne sind deutliche Warnsignale.

Ein Besuch bei uns schafft Klarheit, bevor es zu spät ist.


Prophylaxe

Der Schlüssel zu langfristiger Zahngesundheit

Die Prophylaxe zielt darauf ab, Zahn- und Zahnfleischerkrankungen durch verschiedene Maßnahmen zu verhindern. Dazu gehören neben professioneller Zahnreinigung auch die Aufklärung über Mundhygiene und eine gezielte Ernährungsberatung, um schädliche Einflüsse zu minimieren. Regelmäßige zahnärztliche Kontrollen überwachen den Zustand der Zahngesundheit und ermöglichen die frühzeitige Erkennung von Problemen wie Plaque, Fehlstellungen, Gingivitis oder Parodontitis. Durch systematische Indizes kann die Wirksamkeit der Prophylaxe bewertet und individuell angepasst werden. Diese Maßnahmen tragen dazu bei, Zahnkrankheiten zu verhindern oder frühzeitig zu behandeln und langfristig die Zahn- und Mundgesundheit zu erhalten.

Ist Ihre letzte Kontrolluntersuchung beim Zahnarzt schon eine Weile her oder haben Sie das Gefühl, Sie könnten mal wieder eine professionelle Zahnreinigung benötigen?

Unser Team berät und behandelt Sie gerne. Vereinbaren Sie noch heute einen Termin.


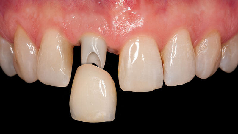
Zahnersatz vom Spezial­isten

Weil Ihr Lächeln Präzision verdient

Wer einen oder mehrere Zähne verliert, wünscht sich meist schnell einen gleichwertigen Ersatz. Ob ein Zahnersatz sinnvoll ist und welche Form sich am besten eignet, hängt von verschiedenen Faktoren ab. Auch persönliche Vorlieben und Erwartungen an Ästhetik, Aussprache und Kaufunktion sind von Bedeutung.

Nach einer allgemeinen und zahnmedizinischen Anamnese, eingehender individueller Befundaufnahme und Diagnostik, röntgenologischer und funktionsdiagnostischer Untersuchung werden Sie von uns unter Berücksichtigung Ihrer Wünsche und Vorstellungen über das Machbare beraten. Nach der Entscheidungsfindung werden die zu erwartenden Kosten transparent und ehrlich mit Ihnen besprochen. Je nach Versorgung übernimmt die gesetzliche Krankenkasse die Kosten anteilig, manchmal auch ganz.

Mit unserer Kombination aus langjähriger Erfahrung, technischem Know-how und modernster Zahnmedizin bieten wir Ihnen in Zusammenarbeit mit zwei lokalen Meisterlaboren Zahnersatz auf höchstem Niveau.

Vertrauen Sie uns Ihre Zahn- und Mundgesundheit an – für ein strahlendes Lächeln, das lange hält.